Acidente vascular cerebral é caracterizado pelo inicio agudo de um déficit neurológico, refletindo um evento focal do sistema nervoso central, resultando em um distúrbio na circulação cerebral que leva uma diminuição do aporte de oxigênio às células cerebrais, levando a morte destas células, deixando seqüelas importantes nestes seguimentos.
Podemos dividir o AVC em duas categorias:
-Acidente vascular isquêmico consiste na oclusão de um vaso sanguíneo que interrompe o fluxo de sangue para região especifica do cérebro. 80% dos casos são de origem isquêmica.
-Acidente vascular hemorrágico consiste no derramamento de sangue no cérebro, com agravantes no aumento da pressão intracraniana, edema ou inchaço no cérebro. 20% dos casos são de origem hemorrágica.
As causas podem ser por quadros de hipertensão arterial sistêmica (pressão alta), fibrilação atrial, diabetes, cigarro, hiperlipidemia (colesterol alto). Outros fatores podem também contribuir como: anticoncepcionais, uso de bebidas alcoólicas, e doenças que dificultam a coagulação sanguínea.
-Fraqueza, que se inicia subitamente em um dos membros, e vai progressivamente migrando para um lado inteiro do corpo e também a face.
-Perda da visão, apresentando visão em sombra ou cortina, assim como cegueira transitória.
-Perda sensitiva, que acompanha a fraqueza muscular com formigamentos
-Afasia (dificuldades na fala)
-Convulsões, ocorre nos casos de hemorragias intracranianas.
O acidente vascular cerebral pode afetar o organismo como um todo, uma seqüela comum é a hemiparesia, ou seja, um lado do corpo fica paralisado, mas também pode causar problemas de raciocínio, atenção, julgamento e memória. Também pode produzir problemas emocionais como dificuldades de controlar emoções, podendo levar a depressão.
TRATAMENTO CLINICO
O tratamento agudo do acidente vascular cerebral isquêmico e hemorrágico, consiste em uso de terapia antitrombótica (para evitar a coagulação do sangue), e uso de drogas especificas em atendimento hospitalar.
Tratamento imediato, dentro de 1 mês da lesão, onde iremos propiciar através de pontos específicos, a melhora da circulação cerebral, levando a células cerebrais a entrarem em um estado de hibernação( capacitando a microcirculação a trabalhar e restaurar o local da lesão).
Tratamento tardio acima de 1 mês da lesão, a área atingida estará fibrificada, então a acupuntura irá estimular a área vizinha para que haja uma conexão entre ela e área atingida.
Utilizamos acupuntura sistêmica (agulhas no corpo) acupuntura auricular, podendo também utilizar moxabustão (bastão de Artemísia), em locais muito dolorosos e rígidos.
É preciso acupuntura, exercícios e tempo para uma boa recuperação.
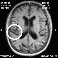
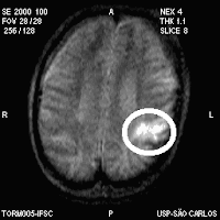
Caso Clínico (Tratamento)
SERVIÇOS - mapa da região (clique no endereço desejado)
Dr. José Antonio Rinaldi (Crefito3 / 12347-F)
Consultório I: Rua Salete, 117 - Santana - Telefone: (11)2973-9099
Consultório II: Rua Serra de Bragança, 1355 - Tatuapé - Telefone:(11) 3628-2125 / 3628-2129
CONTATOS
Cel: 55(11)- 993472511
email: dr.rinaldiacupuntura@gmail.com








Dr. Rinaldi meu marido sofreu um AVC no tronco no dia 29 de março de 2013, gostaria de contatos e informações sobre acupuntura neste caso, ele ainda está na UTI do Hospital são Luiz do Morumbi... Totalmente consciente, mais ainda respira com respirador e não move nada do pescoço para baixo.
ResponderExcluirNo Aguardo de informações 97552-7062 - Alessandra Ornelas